〒662-0016 兵庫県西宮市甲陽園若江町6-15
阪急電鉄「甲陽園駅」より徒歩1分
夙川、苦楽園、仁川、甲東園、門戸厄神、芦屋市から車15分。
宝塚市、伊丹市、三田市からも車30分。 

電話での問合せ・無料相談予約

0120-835-394

症例
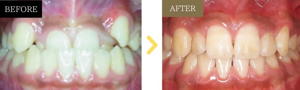
受け口八重歯が治った(抜歯)

治療前の患者さまの悩み

受け口な上に八重歯が目立って、前歯の歯並びが悪いのが気になる。前歯の歯並びをどうにか治したい。

そんな悩みを抱えて当院に来院された、10代男性の患者さまです。

患者さまのご希望は「前歯の歯並びを治したい」というものでしたが、歯並びの乱れが重度なため、お口全体矯正を「インビザラインフル(コンプリヘンシブ)」で行った症例です。

前歯の歯並びの乱れが重度になった原因は、歯の大きさに対して歯が並ぶスペース大きく不足していたこと。

受け口を改善して八重歯をなくすには、非抜歯での矯正だとスペース確保が難しいと判断し、前から4番目の歯(第一小臼歯)を抜歯しての矯正治療を提案しました。

治療の結果

受け口と八重歯が治った症例
受け口と八重歯が治った症例10代

治療の結果、受け口が改善され、上下の歯がしっかりとかみ合うようになりました。八重歯もなくなり前歯の歯並びがとてもキレイに。

患者さまは「歯を見せて笑えるようになった」と大変喜ばれ、満面の笑みを見せてくれました。

10代の男性患者さまでしたから、きっと学校でモテモテになったのではないでしょうか?(笑)

主訴

前歯の歯並びを治したい
治療内容
第一小臼歯4本を抜歯
マウスピース矯正インビザラインフル(コンプリヘンシブ)で治療
治療期間・回数
1年3ヶ月・26回
治療費

総額700,000円(税込)※

リスク・副作用

マウスピースの装着時間を守らないと治療結果や治療期間に影響が出ます

※治療当時の費用です

当院で治療した、マウスピース矯正「インビザライン」の症例を写真で紹介します。

お気軽に
ご相談ください

歯並びの無料相談を実施中。治療後の歯並びをイメージできるシミュレーションも可能です。

  • 私の歯並びは治る?
  • 治療費と治療期間は?
  • 抜歯しないで治せる?

まずは一度ご相談にいらしてください。

兵庫県西宮市で
矯正治療をご検討中の方へ

治療に対するこだわりや当院の強みを掲載しています。

透明なマウスピース矯正の説明ページ

歯列矯正の流れについて、順を追ってご説明します。

院内の様子や設備については、こちらをご覧ください。

矯正治療に関してよくいただくご質問に回答しています。

マウスピース矯正・インビザラインの治療費の詳細はこちら

矯正歯科へのこだわりやモットーについてご紹介します。

ご来院の皆さまに向けたアクセス・医院情報のページです。

どうぞお気軽に
ご相談ください

歯並びの無料相談を実施中。治療後の歯並びをイメージできるシミュレーションも可能です。

  • 私の歯並びは治せますか?
  • 治療費と治療期間は?
  • 抜歯しないで治せますか?

まずは一度ご相談にいらしてください。

診療時間
9:00~12:00
14:00~18:00

─:休診日  ▲:9:00~13:00

兵庫県西宮市甲陽園若江町6-15

阪急電鉄甲陽園駅より徒歩1分。夙川、苦楽園、仁川、甲東園、門戸厄神、芦屋市から車15分。
宝塚市、伊丹市、三田市から車30分

治療名:マウスピース矯正「インビザライン」
治療の説明:透明なマウスピース型の装置で行う矯正治療です。
金額:44万円~79万2千円
治療の期間・回数6か月~2年半、7〜50回
治療のリスクや副作用歯磨き等のセルフケアを怠ると虫歯や歯周病のリスクが高くなります。装着時間を守らないと計画通りに歯が動かない、治療期間が延びる場合があります。矯正治療が完了した後は後戻りを防ぐために保定装置を装着します。保定装置を正しく使用しないと再度矯正治療が必要になる可能性があります。歯と顎のバランスによってはご自身の歯を削る場合があります(削る量は個人差があります)。まれに歯の根が短くなる可能性があります。装置装着後、痛みを感じることがあります(歯が動く正常な反応なので心配ありません)。頬の粘膜・唇・舌などに、口内炎ができることがあります。歯周病等で歯ぐきが下がっている方は、歯を動かすことでさらに歯ぐきが下がる可能性があります。重なっていた歯がきれいに並んだことで歯ぐきと両隣の歯との間に三角形の隙間ができる可能性があります。

注意事項:
【医薬品医療機器等法(薬機法)において現在未承認の医療機器を用いた治療について】
当院では、マウスピース型カスタムメイド矯正装置(製品名:インビザライン)による矯正治療をご提供しております。矯正治療を受ける際には、以下の点をご了承ください。

●未承認医療機器の使用
マウスピース型カスタムメイド矯正装置の材料は厚生労働省の認可を得たものですが、当院で使用しているインビザラインは完成物薬機法対象外の矯正装置です。医薬品医療機器等法(薬機法)の承認を得ておりませんので、医薬品副作用被害救済制度の対象外となる場合があります。

●入手経路
マウスピース型矯正システム「インビザライン」は米国のアライン・テクノロジー社の製品です。当院はアライン・テクノロジー・ジャパン株式会社を通じて利用・入手しております。

●国内の類似する承認医療機器の有無
当院が使用するマウスピース型カスタムメイド矯正装置以外に、複数のシステムが開発されています。また、その中には日本で承認を得ている矯正装置も存在します。

●諸外国における安全性等に係る情報
インビザラインは、全世界で2000万人以上(※)の症例数を持っています。1998年に米国食品医薬品局(FDA)の承認を得ており、現在まででインビザライン固有の重篤な副作用の報告はありません。

※2025年現在

診療時間

 
午前
午後

午前:9:00~12:00
午後:14:00~18:00
▲:9:00~13:00
休診日:水曜・日曜・祝日
※祝日がある週の水曜は診療しております。

〒662-0016
兵庫県西宮市甲陽園若江町6-15

阪急電鉄「甲陽園駅」より徒歩1分

夙川、苦楽園、仁川、甲東園、門戸厄神、芦屋市から車15分。
宝塚市、伊丹市、三田市からも車30分。